Espace Dentaire Arbent - Drs Christian PUJOL & NGUYEN
Chirurgiens-Dentistes à ARBENT
Espace Dentaire Arbent - Drs Christian PUJOL & NGUYEN
Chirurgiens-Dentistes à ARBENT

1 rue Kerkeni
01100 Arbent

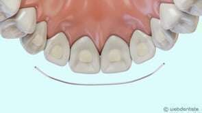
Fil de contention


video-play-icon

Articles similaires

Création par Webdentiste

Connexion